審美歯科治療案内
ホワイトニング
当院では、自宅で簡単に出来るホームホワイトニングを行っております。 1日2時間程度で、2週間自宅にてマウスピース型の器具に薬剤を入れて作用させます。痛みや不快なことはありません。ご自身で好きな時間に自由に出来ます。もちろんテレビを見ながらでも!! 効果のほうは、ご覧の写真の通り。当院施術例です。
施術前![]() |
⇒ | 施術後![]() |
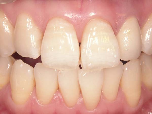
オールセラミック
今までのセラミックは歯ぐきとの境目になんとなく不自然さがありました。 また、天然の歯とは異なる微妙な白さや艶感。 当院では、患者様の歯を担当技工士が直接見て、色はもちろん、形、明るさ、艶の感じなどを直接確認し、完全に患者様個人の歯に合うように責任を持って製作に当たります。色、形など微妙な点のご希望を直接技工士が伺います。
また、メタルフリーの(全く金属を使っていない)差し歯ですから、金属アレルギーの方にも、最適です。写真は当院施術例で、上の歯で正面から右側2番目が、オール セラミックの差し歯です。
施術前![]() |
⇒ | 施術後⇒拡大写真![]() |





